中新网南京5月6日电 (记者 朱志庚)安徽宿州男子在徐州做胸腔手术后出院第二天右肾“失踪”的报道被多家网络媒体转载,引起社会广泛关注。5月5日晚,徐州市卫生计生委成立专项调查组进驻徐医附院着手调查右肾“失踪”谜团。
据媒体转载的报道称,安徽宿州居民刘永伟去年6月在徐州医学院附属医院做了胸腔手术,数月后在多家医院检查均被告知“右肾缺如”。报道中刘永伟向媒体介绍,其手术后,医生对其说,把其右肾取出来观察发现是好的,又重新纳入腹腔。此后不久,自己又进行了第二次手术,主要是对胸腔的切口清创。一个多月后出院到其他医院检查,结果发现右肾失踪。此报道引起不少网友关注及讨论。

徐州医学院附属医院在官网发布声明
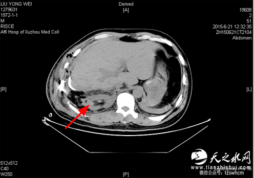
5月5日傍晚,徐医附院针对网络报道发文回应说:“1、近日各大媒体转发了一篇报道“安徽男子术后右肾失踪”。该报道中的内容严重失实。3、患者手术日期:2015年6月20日。3、术后2015年6月21日(术后第1天)和6月25日(术后第5天)的2次CT复查均显示该患者的右肾存在。”并附图一、图二两张CT图片,红色箭头所指方向显示术后第一天和第五天都能看到右肾。

徐州医学院附属医院:2015年6月21日(术后第1天)CT,右肾如箭头所示。
对此,徐州公安局有关负责人表示,具体有关患者右肾“失踪”是否属实,还有待相关权威部门调查认定,警方在密切关注中。但是,在5月5日傍晚,在徐医附院发表声明回应后,微信公众号“徐州警方”也全文转载了徐医附院的回复声明,标题为《网传“安徽男子术后右肾没了”,徐医附院是这样说的》。
当天下午,徐医附院相关部门负责人通过微信介绍说:“今日,该院放射科主任徐凯院长对刘永伟的CT仔细阅片后,在腹腔的某个角落,发现了萎缩的肾脏,血管已经钙化,符合外伤后肾萎缩的报告。”
5月5日晚19时许,徐州卫生计生委对方此事也做出回应:已成立专项调查小组入住徐医附院,将尽快联系患者了解情况,做进一步检查。调查组将对患者的病情进行综合分析,医疗专家分别由胸外科专家、泌尿外科专家以及卫生行政部门的相关人员组成。
正文已结束,您可以按alt+4进行评论


已有0人发表了评论